Protetyka

Leczenie protetyczne, czyli odtworzenie utraconych zębów i zniszczonych struktur zęba to najczęściej przeprowadzane leczenie w naszym gabinecie.

W gabinecie prowadzimy leczenie protetyczne, które umożliwia odtworzenie utraconych zębów lub zniszczonych struktur, pozwalając uzyskać warunki zgryzowe zbliżone do naturalnych.

W ramach usług w zakresie protetyki w Wodzisławiu Śląskim oferujemy wszystkie rozwiązania z zakresu estetycznej protetyki stomatologicznej. Zabiegi mają na celu odtworzenie funkcji uzębienia i uzyskanie pięknego uśmiechu. Zaniechanie leczenia protetycznego skutkuje przemieszczeniem lub pochyleniem zębów graniczących z luką. Braki uzębienia prowadzą do przeciążenia istniejącego uzębienia, ścierania się zębów, odkruszania wypełnień, pękania koron, recesji dziąseł i rozchwiania zębów. Utrudniają zabiegi higieniczne oraz zwiększają ryzyko paradontozy. Mogą również wywoływać dolegliwości bólowe ze strony stawu skroniowo-żuchwowego.

Przed rozpoczęciem leczenia w zakresie protetyki w Wodzisławiu Śląskim, wykonujemy kontrolne badanie RTG, usuwamy złogi nazębne i zęby niekwalifikujące się do leczenia, leczymy próchnicę i choroby miazgi oraz edukujemy Pacjenta w zakresie odpowiednich nawyków higienicznych. Na podstawie badania i zdjęć RTG, przygotowujemy indywidualny plan leczenia z kosztorysem. 

Oferowane rozwiązania

Licówki

Licówki

Pokaż więcej

To rodzaj uzupełnień estetycznych w postaci cienkich płatków porcelany, które przyklejane są do zębów na powierzchniach wargowych lub policzkowych. Rozwiązanie wymaga preparacji zęba od strony zewnętrznej na grubość licówki.

  • Poprawa estetyki poszczególnych zębów i całego uśmiechu
  • Korekta kształtu i wielkości zębów (wydłużenie, skrócenie, poszerzenie, zwężenie)
  • Odbudowa częściowo utraconego zęba
  • Korekta położenia zęba w łuku (w przypadku niewielkich nieprawidłowości w postaci wychylenia lub rotacji zęba)
  • Zamknięcie szpar między zębami
  • Korekta koloru zębów
Korony i mosty z porcelany i kompozytu

Korony i mosty
z porcelany i kompozytu

Pokaż więcej

Korony protetyczne to uzupełnienia stałe (niewyjmowane) wykonywane, gdy naturalna korona zęba została znacznie zniszczona próchnicą lub doszło do jej złamania. Zabieg wymaga oszlifowania zęba. Zostaje on pomniejszony o grubość korony. Korony protetyczne mogą być osadzane na implantach. W przypadku utraty całego zęba, konstrukcja opiera się na dwóch graniczących z luką zębach. Zęby te (tzw. filary) wymagają oszlifowania pod korony protetyczne. Z kolei most protetyczny, w zależności od ilości i rozmieszczenia braków zębowych, może uzupełniać nawet wszystkie zęby w łuku. Filarami dla mostu mogą być implanty.

  • Przywrócenie pięknego, zdrowego uśmiechu
  • Rozwiązanie stałe – nie wymaga wyjmowania np. na czas snu
  • Żywotność wynosząca nawet 20 lat
  • Przywrócenie pełnej funkcjonalności gryzienia
  • Poprawa kształtu, koloru i wielkości uszkodzonych zębów
Protezy całkowite i częściowe, szkieletowe  i osiadające

Protezy całkowite
i częściowe, szkieletowe
i osiadające

Pokaż więcej

W zależności od ilości brakujących zębów, wykonujemy protezy całkowite (w przypadku bezzębia) lub protezy częściowe (gdy zachowana jest część uzębienia). Proteza może utrzymywać się w jamie ustnej poprzez kontakt z błoną śluzową (proteza osiadająca) lub wspierać się na uzębieniu Pacjenta (proteza szkieletowa). Kształt, zasięg i rodzaj protezy ruchomej dopasowujemy do warunków anatomicznych Pacjenta oraz ilości brakujących zębów.

  • Idealnie dopasowany kształt i odcień zębów
  • Rozwiązanie najbardziej ekonomiczne
  • Możliwość swobodnego gryzienia i mówienia
  • Odzyskanie pięknego uśmiechu i naturalnych rysów twarzy
  • Ochrona przed negatywnymi skutkami braków w uzębieniu
Złożone rozwiązania protetyczne z systemami zatrzasków i zasuw

Złożone rozwiązania
protetyczne z systemami
zatrzasków i zasuw

Pokaż więcej

Dysponujemy doświadczeniem w leczeniu trudnych przypadków częściowych braków zębowych oraz stanów po urazie twarzoczaszki. Oferujemy protezy mocowane na zasuwach, zatrzaskach oraz koronach teleskopowych. Rozwiązania protetyczne dobieramy indywidualnie z myślą o wygodzie pacjenta i planowanym długoczasowym zachowaniu funkcji protez.

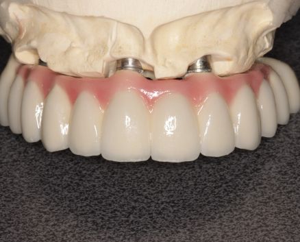
Rozwiązania protetyczne na implantach

Rozwiązania protetyczne
na implantach

Pokaż więcej